A WOMAN who found a new lump on her body every day for a week was terrified to learn the true cause.
Kaylee Engle was just 22 when she found a bump under her skin by her breast, which she initially dismissed.




But when she continued to spot new lumps forming in different parts of her body, she knew something was amiss.
Doctors initially thought the lumps peppering Kaylee’s body could be cysts.
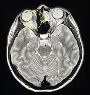
But a chest X-ray found the true cause â stage four melanoma, which had spread throughout her body, including seven tumours in her brain, and more than 20 tumours in each of her lungs.
“I found out in the hallway of the emergency room, after being there for nine hours, and was in shock,”;; Kaylee, who works as a nanny and is based in Toronto, , said.
“There were at least 20 tumours in each of my lungs â doctors were unable to count them all.
“They did so many tests, biopsies and scans â it was all such a blur.
“It was terrifying learning new information about my disease, which felt like every five minutes.
“And it was shocking knowing just how much cancer was in my body.
“They found seven brain tumours, at least 18 in my liver, and at least 20 in each lung, plus two beside my heart, and tumours in my spine and adrenal gland.
“It’s so widespread â it’s everywhere.”;;
Kaylee experienced some subtle symptoms in the month before her diagnosis â but the severity of her diagnosis came as a complete shock.
She said: “I had been feeling off for the past month or so, but it was nothing super unusual since I had just moved, gotten into a new relationship, and had a lot going on.
“I had lost 20lbs without trying, and felt nauseous and threw up a lot, and found I was getting tired easily.
“But it was nothing severe.”;;




Alarm bells started to ring in June 2023 when she found the lump near her breast.
Kaylee said, “The following week, I found another lump every day.
“The first two were in my right breast, then I found one above my ribs, on my stomach and my neck â and some of my lymph nodes were swollen as well.”;;
She went to get checked out at a walk-in clinic, and says her doctor initially believed the lump was a cyst, and scheduled an ultrasound several months down the line.
But Kaylee grew concerned when she began vomiting again the following day and decided to go to hospital, where she had a scan that revealed she had cancer.
She said: “I was concerned and felt like it was something much worse [than a cyst].
“I did so much Googling before I ended up in the ER and was convinced it was cancer â something in me just knew something was not right.
“By the time I was diagnosed, I was already convinced I had cancer, but even so, finding out for sure was a shock.
“But it felt validating that I knew something was wrong with my body.
“Before, when they were finding nothing, I felt so defeated because I just knew something was wrong.”;;
‘May never be cancer-free’
Kaylee soon started immunotherapy, as well as radiation to treat the tumours in her brain.
Though she received a stage four melanoma diagnosis and the cancer is widespread throughout her body, her prognosis isn’t necessarily terminal and doctors are optimistic about her treatment options.
As of May 2025, she is undergoing another round of treatment and is currently stable.
The 22-year-old said she was healthy before her diagnosis, though she had several moles removed as doctors feared they could turn into melanoma.
Now, Kaylee is facing the prospect of being in continued treatment for the rest of her life.



She said, “I likely may never be cancer-free, but even just being stable is amazing news.
“There are so many more melanoma treatments coming out now, which is incredible, and there are a couple of trials that I may qualify for coming up soon.
“I will try anything to let me live a full life.
“But I’m just enjoying every day as much as I can and I have a lot of hope for the future, whether that be treatment ongoing, or becoming cancer free, which is the ideal goal for me â and which I know I can achieve eventually.”;;
She is now focusing her efforts on raising awareness on TikTok, where she has more than 10,000 followers and videos garnering millions of views.
Kaylee added: “It’s important for me [to share my story online] because I want to spread awareness for melanoma and also just advocate for ourselves in the medical system.
“I have had to quickly learn to advocate for myself, and I want to empower other people to know that they can do the same.
“We know our bodies best and should be listened to.
“As well as urging people to be cautious with their skin, wearing SPF, being careful of sunburns, avoiding indoor tanning, and doing yearly skin checks and getting things checked if we think something is wrong.
“Early detection for skin cancer saves lives, and although mine was not caught until stage four, that doesn’t have to be the norm.”;;


