WAKING up from his gruelling surgery, Benjamin Smith yelped in excruciating pain. The 41-year-old, from the east of England, had never felt anything like it.
Despite writhing in agony, Benjamin was delighted. After years of being unhappy with his 5ft 6in frame, he’d added three inches to his height with a controversial leg-lengthening surgery. Now, eight months on, he’s unable to work because of nerve damage, but says he has no regrets.
Benjamin pictured in hospital after the leg-lengthening surgeryCredit: Wanna Be Taller
Wanna Be Taller in Turkey offers surgery to patients wanting to add to their heightCredit: Wanna Be Taller
Despite the pain involved, the many months of rehabilitation required and the risk of complications such as blood clots, which have proved fatal in at least one case, limb lengthening as a has grown in popularity in recent years.
The global limb-lengthening industry was valued at around £3billion in 2021, and experts say it could double to £6.45billion by 2030.
For Benjamin, the surgery has been “absolutely life-changing”. Despite a healthy lifestyle and a successful career in construction, he has always been self-conscious about his .
When he was 15, one of his sister’s friends told him he was “cute” but wished he were “a bit taller”, and by the time he reached his twenties, his insecurities had reached the point where he would stuff his shoes with insoles to give him a two-inch boost.
Convinced that “taller men get better opportunities,” whether at work or in , he sought the help of his , who said there was nothing he could do.
He then tried inversion boots, which allowed him to hang upside down from a bar for up to ten minutes at a time. He believed this would make him taller. He even prayed for extra inches, but nothing worked.
Then in January 2023, fed up with stuffing his shoes with insoles, which made walking painful, he started looking for a “permanent” solution to what he believed was a “height problem”.
“When I looked in the mirror, I saw a short person – and there’s nothing that could erase that from my mind,” Benjamin says. “I saw short legs and a longer upper body.”
“I always wanted to feel like I’m a man, like I’m able to protect my girlfriend, who is the same height as me, – and I just didn’t feel that way going out without wearing insoles in my shoes.”
Benjamin was so insecure about his height that he would get angry and not want to be around anyone.
What is limb lengthening surgery?
Limb lengthening surgery is a procedure that gradually makes an arm or leg bone longer.
It can be used to treat differences in the length of arms or legs.
It involves:
- Cutting the bone in two segments
- Attaching a limb lengthening device to the two segments of bone – either rods or a thin metal frame
Your body will create new bone to fill the gap between the two segments.
If you’re lengthening a leg bone, you won’t be able to walk for several weeks.
You may use a wheelchair, crutches or other aids.
If you’re lengthening an arm, you won’t be able to lift things for a few weeks.
“I really felt so terrible, like, I just wanted to kill myself,” he admits.
He then discovered leg-lengthening surgery and was “extremely excited”.
The success stories posted online, like that of US-based influencer Dynzell Sigers , who increased his height from 5ft 5in to 6ft, egged him on, and he immediately decided to book a consultation.
He says: “I’d be at work just daydreaming about it.”
Yet, when Benjamin read more about the surgery and learnt that the leg bones had to be broken and that it would cost upwards of £50,000 at a private clinic in the UK, he was put off.
Two years later, however, after a night out in central London where Benjamin noticed that “taller men were at an advantage”, he went back online to look for clinics specialising in leg-lengthening.
It felt like putting cayenne pepper inside my legs
After searching for “cheaper clinics”, he dismissed centres in and and settled for Wanna Be Taller in , as it was the only one that offered Benjamin a video call.
For roughly £20,000, Benjamin opted for the least expensive “lengthening over nail” (LON) method.
LON surgery sees the thigh bones get broken in two. Doctors then insert a metal rod into the bone marrow cavity.
Metal frames, called external fixators, are attached to the outsides of the legs, and a new bone can develop in the gap.
Soon after surgery, patients receive an Allen key to turn the screws in the fixators four times per day, allowing for a total extension of 1mm every 24 hours.
Another patient who Wanna Be Taller claims added 10cm to his heightCredit: Wanna Be Taller
“The pain was constant,” Benjamin says.
“By the time he got to 6.5cm (2.5inches), it was “extreme”, forcing him to rely on Tramadol and Xanax, medications which left him in a “zombified” state.
“When I got to about 6cm, I felt like my soft tissues and everything had reached the limits, and I just couldn’t get the stretch anymore.
I felt like my soft tissues and everything had reached the limits, and I just couldn’t get the stretch anymore
“It was so painful – one turn felt like putting cayenne pepper inside my legs, that pain was just fiery… So that’s what led me to stop at 7cm (2.7inches) and just call it quits.”
“You just start feeling some sensation in your leg, and then that sensation just turns into excruciating pain. It’s like torture.
“All kinds of pain just going through the entire body.”
That was just the beginning of a gruelling recovery which is still ongoing almost nine months after his initial operation – but Benjamin has no regrets.
I was crying, asking myself, ‘Why did I do this?’
Rather, he is confident that his life is “100 per cent better”.
And, though Benjamin now wishes he had continued lengthening to gain the full 8.5 centimetres (3.3inches) he was originally promised, the extra 2.7 inches have brought him to the cusp of 5ft 9in – the average height for men in the UK.
The day after the surgery, a physiotherapist tried to get Benjamin to walk, but the pain was so intense that he fainted.
“I woke up in tears because I was alone and nobody knew I was there,” he adds.
Benjamin pictured before his surgery, where he said he had ‘short legs and a long body’Credit: Wanna Be Taller
Benjamin’s legs immediately after surgeryCredit: Wanna Be Taller
“It was a really scary experience.
“‘I was crying and bawling my eyes out, asking myself, ‘Why did I do this?’
“There was a lot of doubt in my head. I was thinking to myself, I regret doing this – and I’m alone out there. I think the first two weeks were torturous for me.”
Still, when it was time to start the lengthening 48 hours after the operation, Benjamin recalls feeling excited.
“I was so excited, I just couldn’t wait,” Benjamin says.
“I was so eager to start lengthening.”
Discharged from the hospital after five days, Benjamin was sent to recuperate in the hotel attached to the clinic, where he would stay for the next three months. Looking back, he has some doubts about the quality of the care he received.
“They just left me with a guy who wasn’t even trained to be a carer,” Benjamin tells The Sun.
“He didn’t know anything about medical stuff, and they just dumped us, left me with him at the hotel reception.”
The first day in the hotel, Benjamin collapsed again in the bathroom and found that there was no one to call for help.
He explains: “I had to pay for another carer to come look after me because I was really scared to be alone, I was really afraid.”
When Benjamin finally returned to the UK in 2025, later than originally planned, he had to take medication for nerve damage.
In the UK, limb lengthening is not available on the for purely cosmetic reasons, but around 100 patients a year are treated for “limb length equalisation and deformity correction surgery”.
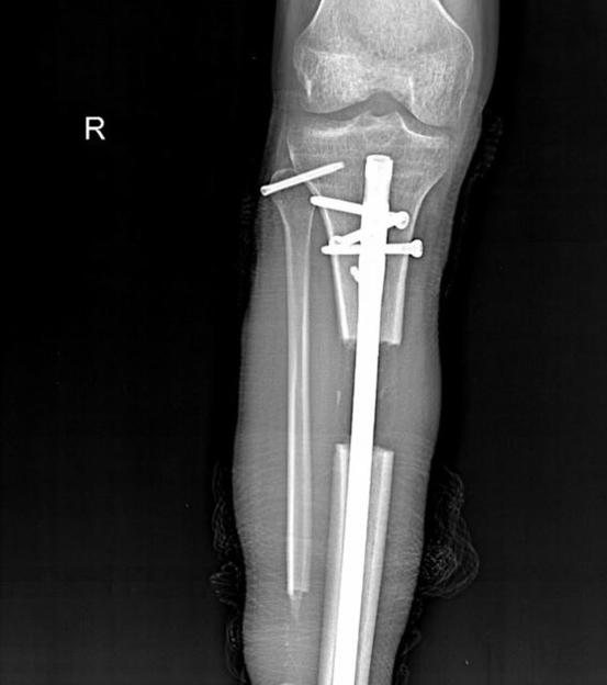
US-based influencer Dynzell Sigers, who increased his height from 5ft 5in to 6ft,Credit: Kennedy Newsand Media
An x-ray of Dynzell Siger’s leg shows a fixator attached to the bone through his skin. A screw was then placed inside the bone in a surgical procedure to lengthen his legCredit: Kennedy News
It is, however, available at private clinics in the UK, with prices starting around £50,000 and rising to £240,000 in some cases, but at such high prices, many British patients choose to have the procedure abroad, where it is significantly cheaper.
Online forums focused on limb lengthening suggest , which is already well-established as a cosmetic surgery hub, is one of the most popular destinations for leg lengthening, while India and Vietnam appear to be the cheapest – but riskiest – options.
Istanbul’s Live Life Taller seems to be one of the preferred clinics and, in 2025 alone, 267 limb-lengthening surgeries were thought to have been performed there. Of these, 250 were for cosmetic purposes.
While there are no official figures for cosmetic limb-lengthening at UK private clinics, the number of surgeries annually is thought to be only in the dozens.
The NHS remains wary about patients travelling overseas to have their legs lengthened, arguing that the risks are not always clearly laid out and insufficient physical therapy is provided.
“The NHS is often left to pick up and treat patients who have been overseas for surgery and run into problems,” a spokesperson tells The Sun.
“A small study done in our Limb Reconstruction Unit revealed a significant cost burden to the NHS of treating returning patients in the NHS.”
While most surgeons, including Dr Yunus Öç of Istanbul’s Wanna Be Taller clinic and Dr Axel Becker of Germany’s Becker Betz Institute, usually offer a height increase of between four and five inches, some patients, including the founder and director of Live Life Taller, have boosted their height by as much as eight inches – but this requires multiple surgeries.
US-based Dynzell Sigers, one of the who inspired Benjamin to pursue leg lengthening, gained almost seven inches this way, at a cost of approximately £75,000.
Dr Yunus Öç, an orthopaedic surgeon and traumatologist at Wanna Be Taller, says limb-lengthening has never been safer.
“Leg lengthening operations are becoming increasingly popular in recent years because they can be done more safely and with fewer problems,” he says. “Because it’s safer, more people are naturally interested.”
The doctor adds that when he is assessing patients ahead of surgery, he takes into account the average height in their countries of origin.
“Under normal circumstances, I actually base my assessment on the average height of [different] countries,” he says.
Explaining that the average height for men in Turkey is 175cm (5ft 9in), he says: “When a patient over 170 (5ft 6in) comes in, we definitely suggest secondary options. [We ask them to] think again. It’s a serious operation so we definitely have another meeting.”
For Benjamin, however, the decision to undergo surgery was the culmination of 20 years of dissatisfaction with what he describes as his “short stature” and his beliefs about the relationship between height and masculinity.
Acknowledging that it sounds “a bit shallow,” Benjamin says social media has fuelled the idea that “the tallest guy, the biggest, most jacked guy is the one that’s the alpha male in the group”.
While Wanna Be Taller maintains that physiotherapy is offered daily and dressings are changed every other day, Benjamin found that the physiotherapists were not there on Saturdays or Sundays.
He adds that there weren’t enough resources for all the patients in recovery, with “only one nurse and two physiotherapists who are treating everyone round the clock”.
“My physiotherapist was an amazing guy, but we had a bit of a language barrier,” Benjamin adds.
Having had to extend his stay in Turkey to recover from the second operation, where the external fixators were removed, Benjamin arrived back in the UK in October of last year.
The pain continued even when he was on home soil due to nerve damage, which left him feeling as though he had pebbles under his feet.
For Benjamin, the length of the NHS waiting list meant that he turned to his pharmacist father for medication.
Almost nine months on from his surgery, Benjamin isn’t fully recovered and believes it could be a year or two years before he can return to work.
But, being short, he insists, is itself “a painful experience”. Indeed, feeling content with his height – as he does today – “is worth anything”.
Wanna Be Taller was approached for comment.
*Benjamin’s name has been changed.
If you are affected by any of the issues raised in this article, please call the Samaritans for free on 116123



